Tailor-made Antibodies
and Tools for Life Science
Home | | | | | Technical Support

Vimentin antibody - HS-172 011

Vimentin is a type III intermediate filament
Mouse monoclonal purified IgG
Cat. No.: HS-172 011
Amount: 100 µg
Price: $420.00
Cat. No. HS-172 011 100 µg purified IgG, lyophilized. Albumin and azide were added for stabilization. For reconstitution add 100 µl H2O to get a 1mg/ml solution in PBS. Then aliquot and store at -20°C to -80°C until use.
Antibodies should be stored at +4°C when still lyophilized. Do not freeze!
Applications
 
WB: 1 : 1000 (AP staining) gallery  
IP: not tested yet
ICC: 1 : 500 gallery  
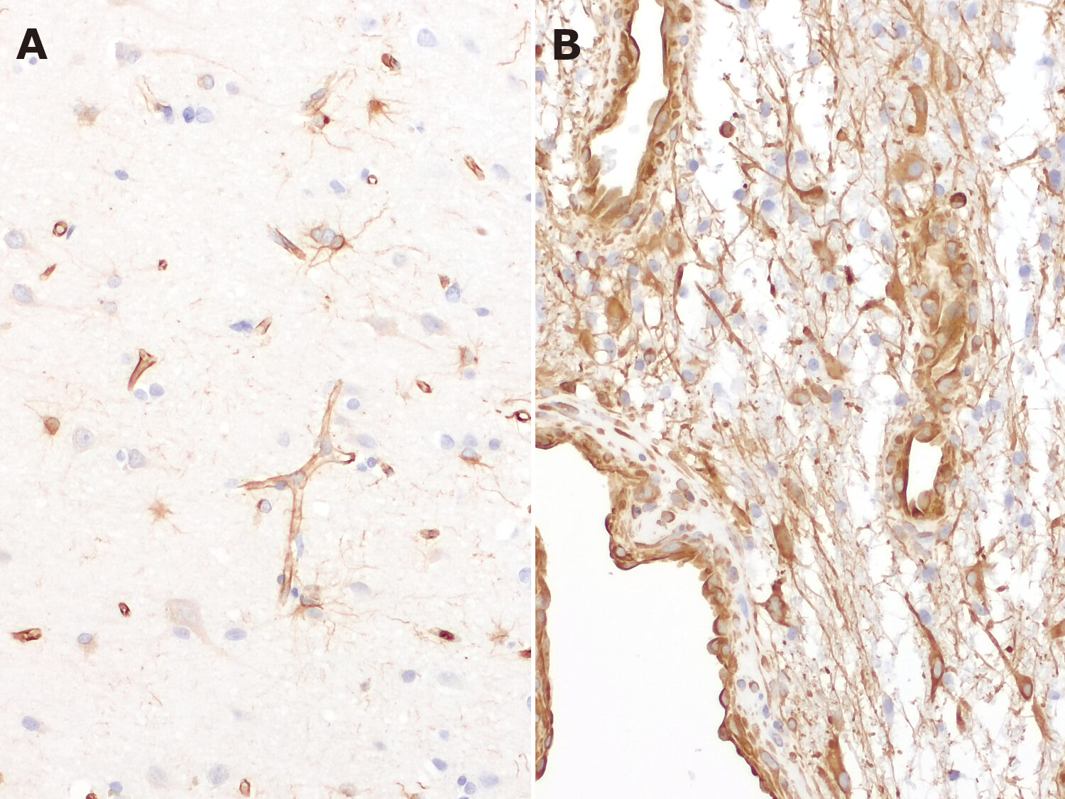
IHC: 1 : 500 gallery  
IHC-P: 1 : 1000 gallery  

Western blot (WB); separation of proteins by PAGE and subsequent transfer to a membrane. Detection of target molecules is carried out with antibodies. Some antibodies require special sample preparation steps. For details, please refer to the “Remarks” section.

Immunoprecipitation (IP); Immunoisolation or pulldown of a target molecule using an antibody. For details and product specific hints, please refer to the ”Remarks” section.

Immunocytochemistry (ICC) on 4% PFA fixed cells. Immunoreactivity is usually revealed by fluorescence. Some antibodies require special fixation methods. For details, please refer to the “Remarks” section.

Immunohistochemistry (IHC) on 4% PFA perfusion fixed tissue with 24h PFA post fixation. Immunoreactivity is usually revealed by fluorescence or a chromogenic substrate. Some antibodies require special fixation methods or antigen retrieval steps. For details, please refer to the ”Remarks” section.

Immunohistochemistry (IHC-P) of formalin fixed, paraffin embedded (FFPE) tissue (some antibodies require special antigen retrieval steps, please refer to the ”Remarks” section). Immunoreactivity is usually revealed by fluorescence or a chromogenic substrate.

Clone V9
Subtype IgG1 (κ light chain)
Immunogen Full-length pig Vimentin recombinant protein (UniProt Id: P02543)
Reactivity Reacts with: human (P08670), rat (P31000).
No signal: mouse (P20152).
Other species not tested yet.
Data sheet hs-172_011.pdf
Important information
This product belongs to the HistoSure product line of antibodies developed for and extensively tested in FFPE tissues.
For more information please visit our HistoSure brand website.
Cat. No.: HS-172 011
Amount: 100 µg
Price: $420.00
Background
Vimentin belongs to the family of intermediate filaments that can be subdivided into six major groups based on sequence similarity. Vimentin belongs to the type III category and is the predominant subunit protein of intermediate filaments in tissues of mesenchymal origin.
Like other intermediate filaments it plays a role in the cytoskeletal organization and maintenance of cell shape and morphology.