Tailor-made Antibodies
and Tools for Life Science
Home | | | | | Technical Support

c-Jun antibody - 520 017

c-Jun is a member of the AP-1 transcription factor complex
Rat monoclonal purified IgG
Cat. No.: 520 017
Amount: 100 µg
Price: $420.00
Cat. No. 520 017 100 µg purified IgG, lyophilized. Albumin and azide were added for stabilization. For reconstitution add 100 µl H2O to get a 1mg/ml solution in PBS. Then aliquot and store at -20°C to -80°C until use.
Antibodies should be stored at +4°C when still lyophilized. Do not freeze!
Applications
 
WB: 1 : 1000 (AP staining) gallery  
IP: not tested yet
ICC: 1 : 500 gallery  
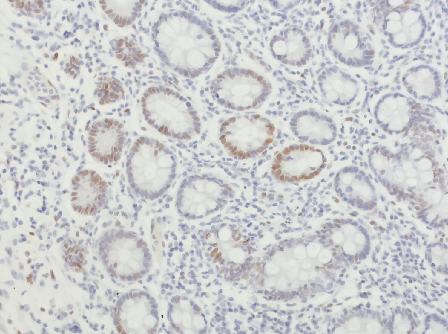
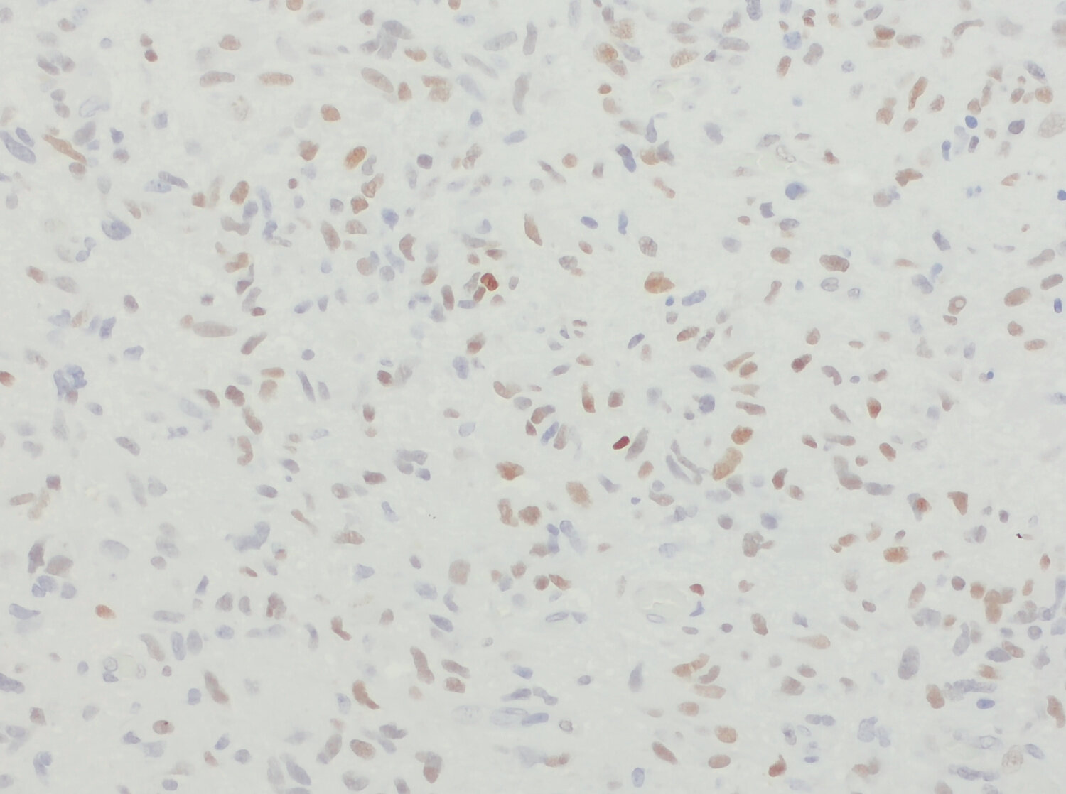
IHC: 1 : 500 (see remarks) gallery  
IHC-P: 1 : 100 up to 1 : 400 gallery  

Western blot (WB); separation of proteins by PAGE and subsequent transfer to a membrane. Detection of target molecules is carried out with antibodies. Some antibodies require special sample preparation steps. For details, please refer to the “Remarks” section.

Immunoprecipitation (IP); Immunoisolation or pulldown of a target molecule using an antibody. For details and product specific hints, please refer to the ”Remarks” section.

Immunocytochemistry (ICC) on 4% PFA fixed cells. Immunoreactivity is usually revealed by fluorescence. Some antibodies require special fixation methods. For details, please refer to the “Remarks” section.

Immunohistochemistry (IHC) on 4% PFA perfusion fixed tissue with 24h PFA post fixation. Immunoreactivity is usually revealed by fluorescence or a chromogenic substrate. Some antibodies require special fixation methods or antigen retrieval steps. For details, please refer to the ”Remarks” section.

Immunohistochemistry (IHC-P) of formalin fixed, paraffin embedded (FFPE) tissue (some antibodies require special antigen retrieval steps, please refer to the ”Remarks” section). Immunoreactivity is usually revealed by fluorescence or a chromogenic substrate.

Clone SY-256H3
Subtype IgG2a (κ light chain)
Immunogen Full-length recombinant mouse c-Jun (UniProt Id: P05627)
Reactivity Reacts with: mouse (P05627), rat (P17325), human (P05412).
Other species not tested yet.
Remarks

IHC: This antibody produces some filamentous background on rat brain.

Data sheet 520_017.pdf
Cat. No.: 520 017
Amount: 100 µg
Price: $420.00
Background

Like c-Fos, c-Jun is a key member of the activator protein-1 (AP-1) transcription factor complex and plays an important role in many cellular activities including proliferation, apoptosis, survival, and differentiation (1). As part of the bZIP family, it can form homo- and heterodimers, which initiate specific gene transcription (2, 3).
c-Jun mediates transcriptional responses to various signals, such as growth factors, stress stimuli, and oncogenes in many cell types and tissues (1, 3). In embryonic tissues, c-Jun expression is abundant (1). However, this changes in adult tissues, where it is primarily expressed in actively dividing neural precursor cells (4). The complex interplay of structure, function, and expression profiles makes c-Jun a significant target for research in neuroscience, developmental biology, and cancer (5).