Tailor-made Antibodies
and Tools for Life Science
Home | | | | | Technical Support

PCP4 antibody - 480 011

PCP4 modulates calcium binding by calmodulin
Mouse monoclonal purified IgG
Cat. No.: 480 011
Amount: 100 µg
Price: $420.00
Cat. No. 480 011 100 µg purified IgG, lyophilized. Albumin and azide were added for stabilization. For reconstitution add 100 µl H2O to get a 1mg/ml solution in PBS. Then aliquot and store at -20°C to -80°C until use.
Antibodies should be stored at +4°C when still lyophilized. Do not freeze!
Applications
 
WB: not recommended
IP: not tested yet
ICC: 1 : 500 gallery  
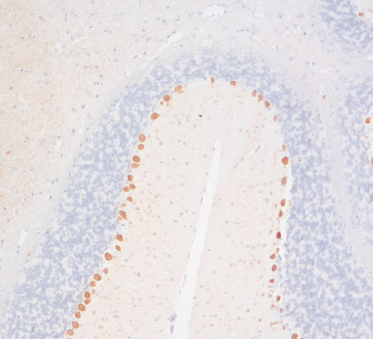
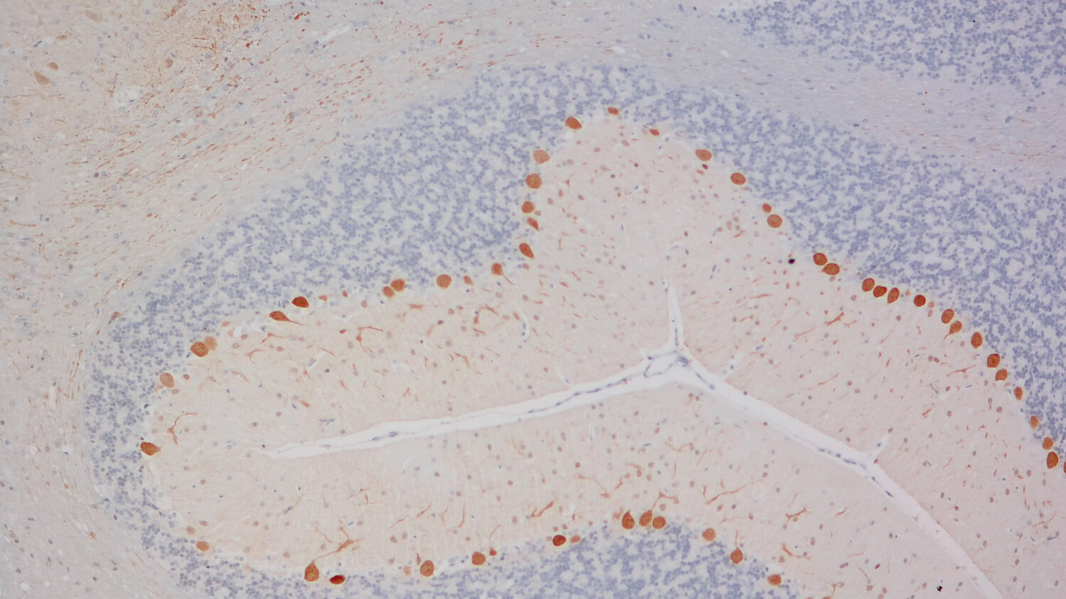
IHC: 1 : 500 gallery  
IHC-P: 1 : 100 up to 1 : 200 gallery  

Western blot (WB); separation of proteins by PAGE and subsequent transfer to a membrane. Detection of target molecules is carried out with antibodies. Some antibodies require special sample preparation steps. For details, please refer to the “Remarks” section.

Immunoprecipitation (IP); Immunoisolation or pulldown of a target molecule using an antibody. For details and product specific hints, please refer to the ”Remarks” section.

Immunocytochemistry (ICC) on 4% PFA fixed cells. Immunoreactivity is usually revealed by fluorescence. Some antibodies require special fixation methods. For details, please refer to the “Remarks” section.

Immunohistochemistry (IHC) on 4% PFA perfusion fixed tissue with 24h PFA post fixation. Immunoreactivity is usually revealed by fluorescence or a chromogenic substrate. Some antibodies require special fixation methods or antigen retrieval steps. For details, please refer to the ”Remarks” section.

Immunohistochemistry (IHC-P) of formalin fixed, paraffin embedded (FFPE) tissue (some antibodies require special antigen retrieval steps, please refer to the ”Remarks” section). Immunoreactivity is usually revealed by fluorescence or a chromogenic substrate.

Clone SY-275C3
Subtype IgG2b (κ light chain)
Immunogen Full length human recombinant PCP4 (UniProt Id: P48539)
Reactivity Reacts with: mouse (P63054), rat (P63055).
Other species not tested yet.
Data sheet 480_011.pdf
Cat. No.: 480 011
Amount: 100 µg
Price: $420.00
Background

Purkinje-cell protein 4 (PCP4) also known as PEP-19, is a small calmodulin (CaM)-binding protein that exhibits high expression levels in cerebellar Purkinje cells. PCP4 also occurs in neocortical structures, especially in the deep layers, and in other cortical structures and parts of the hippocampus. Furthermore, the olfactory bulb and caudate putamen show high PCP4 levels (1). PCP4 selectively binds to the C-domain of CaM via an IQ motif (2) and modulates CaM signaling by acting at the level of Ca2+ binding to CaM (3).