Tailor-made Antibodies
and Tools for Life Science
Home | | | | | Technical Support

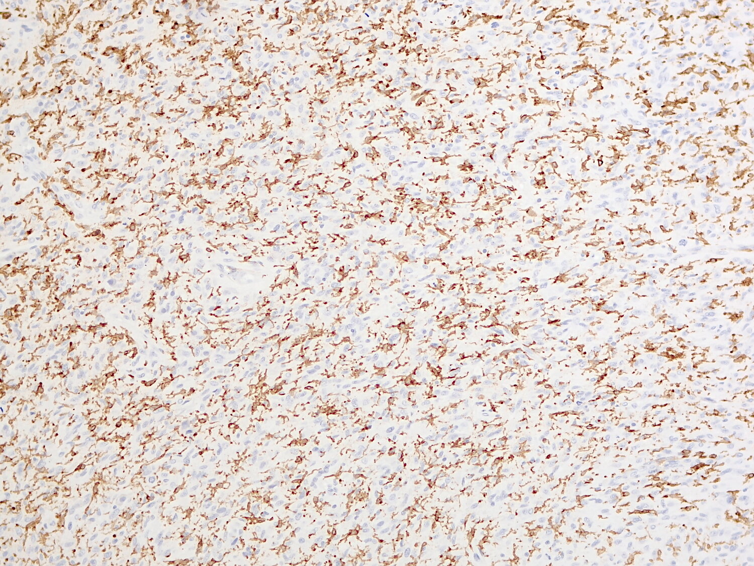
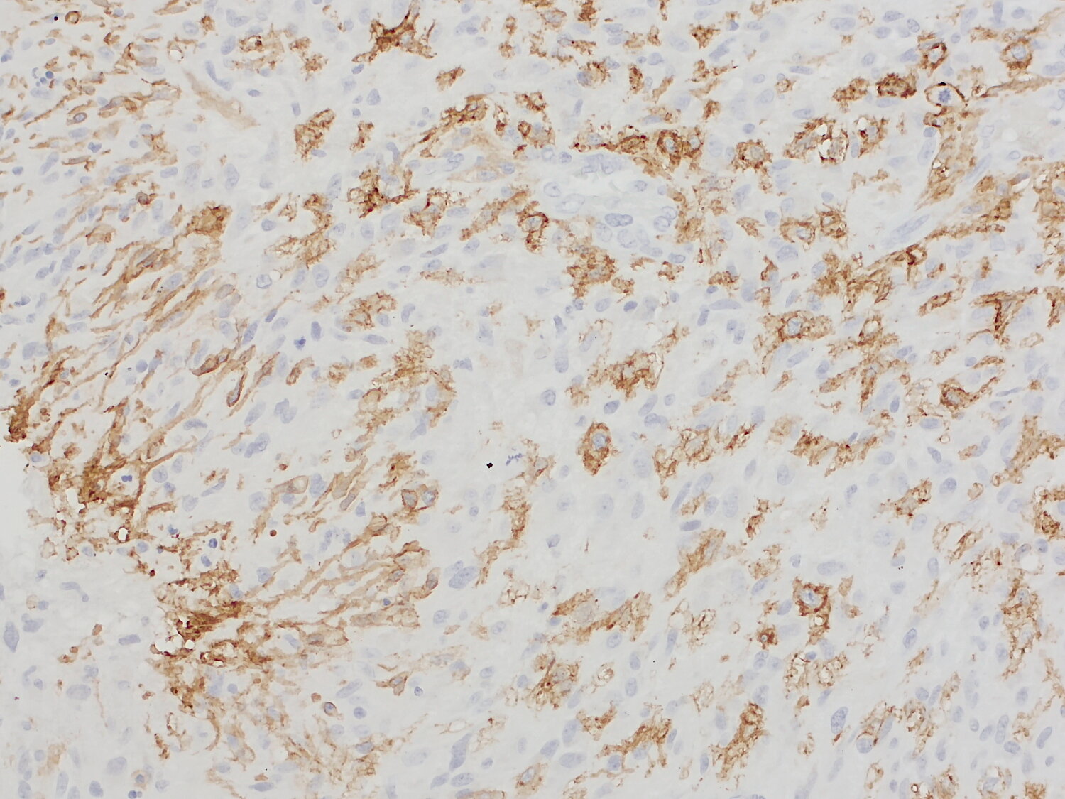
TMEM119 antibody human specific - 400 121

TMEM119 is a microglia specific transmembrane protein
Mouse monoclonal purified IgG
Cat. No.: 400 121
Amount: 100 µg
Price: $420.00
Cat. No. 400 121 100 µg purified IgG, lyophilized. Albumin and azide were added for stabilization. For reconstitution add 100 µl H2O to get a 1mg/ml solution in PBS. Then aliquot and store at -20°C to -80°C until use.
Antibodies should be stored at +4°C when still lyophilized. Do not freeze!
Applications
 
WB: not tested yet
IP: not tested yet
ICC: not tested yet
IHC: not tested yet
IHC-P: 1 : 1000 gallery  

Western blot (WB); separation of proteins by PAGE and subsequent transfer to a membrane. Detection of target molecules is carried out with antibodies. Some antibodies require special sample preparation steps. For details, please refer to the “Remarks” section.

Immunoprecipitation (IP); Immunoisolation or pulldown of a target molecule using an antibody. For details and product specific hints, please refer to the ”Remarks” section.

Immunocytochemistry (ICC) on 4% PFA fixed cells. Immunoreactivity is usually revealed by fluorescence. Some antibodies require special fixation methods. For details, please refer to the “Remarks” section.

Immunohistochemistry (IHC) on 4% PFA perfusion fixed tissue with 24h PFA post fixation. Immunoreactivity is usually revealed by fluorescence or a chromogenic substrate. Some antibodies require special fixation methods or antigen retrieval steps. For details, please refer to the ”Remarks” section.

Immunohistochemistry (IHC-P) of formalin fixed, paraffin embedded (FFPE) tissue (some antibodies require special antigen retrieval steps, please refer to the ”Remarks” section). Immunoreactivity is usually revealed by fluorescence or a chromogenic substrate.

Clone 26C4B3
Subtype IgG2a (κ light chain)
Immunogen Recombinant protein corresponding to AA 194 to 283 from human TMEM119 (UniProt Id: Q4V9L6)
Reactivity Reacts with: human (Q4V9L6).
Other species not tested yet.
Remarks

This antibody is recommended for material from human only. Due to significant differences of TMEM 119 among species, cross-reactivity is unlikely.

Data sheet 400_121.pdf
Cat. No.: 400 121
Amount: 100 µg
Price: $420.00
Background

Microglia are resident myeloid cells of the central nervous system (CNS). They are ontogenetically and functionally distinct from monocyte-derived macrophages that infiltrate the CNS under pathological conditions. Transmembrane protein 119 (TMEM119) is a single-pass type I membrane protein that has been identified as a useful, highly selective microglia marker protein.