Tailor-made Antibodies
and Tools for Life Science
Home | | | | | Technical Support

SATB2 antibody - 327 003

SATB2 is a transcription factor involved in neuronal differentiation
Rabbit polyclonal purified antibody
Cat. No.: 327 003
Amount: 50 µg
Price: $380.00
Cat. No. 327 003 50 µg specific antibody, lyophilized. Affinity purified with the immunogen. Albumin was added for stabilization. For reconstitution add 50 µl H2O to get a 1mg/ml solution in PBS. Then aliquot and store at -20°C to -80°C until use.
Antibodies should be stored at +4°C when still lyophilized. Do not freeze!
Applications
 
WB: not recommended
IP: not tested yet
ICC: 1 : 500 gallery  
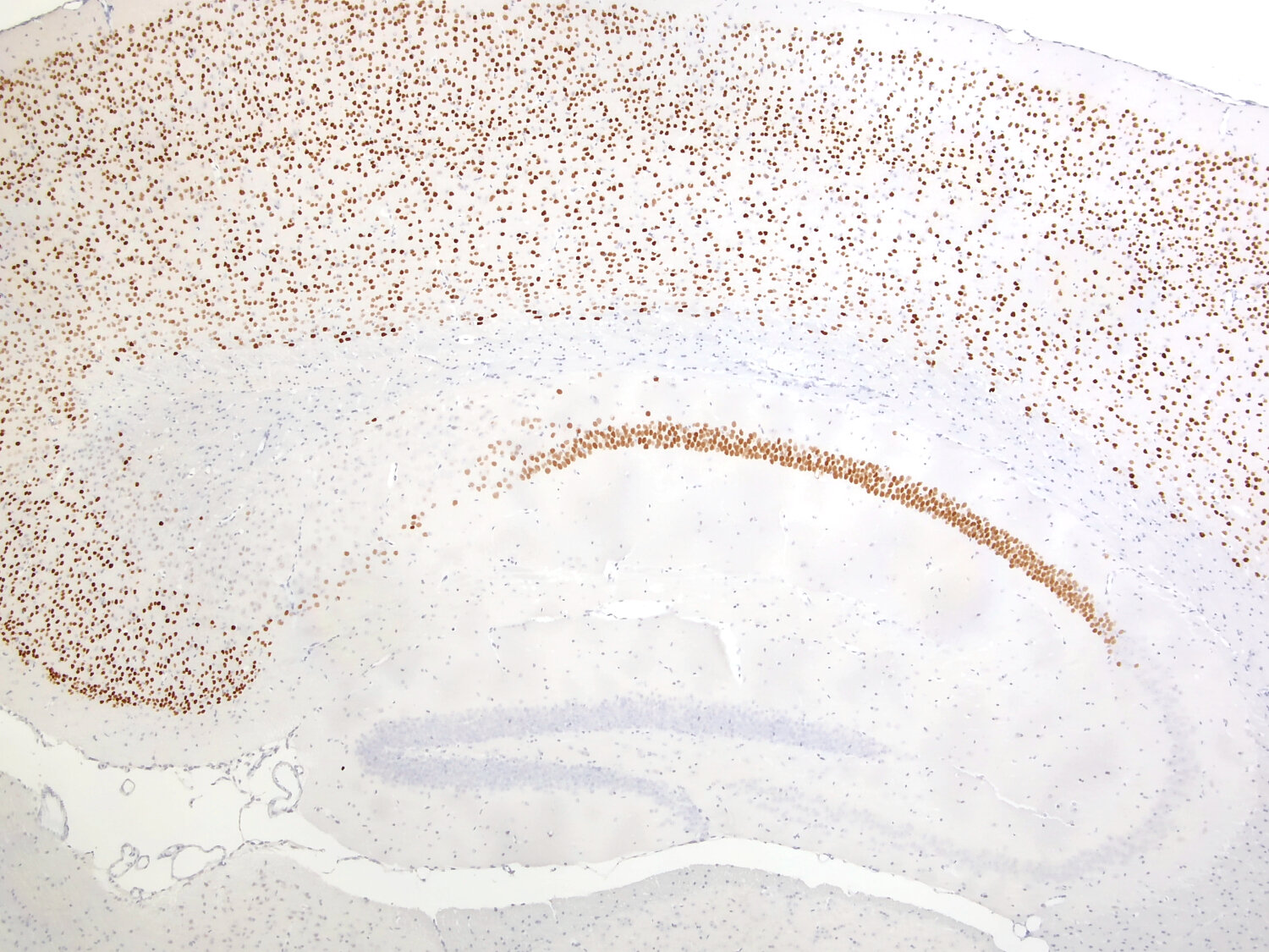
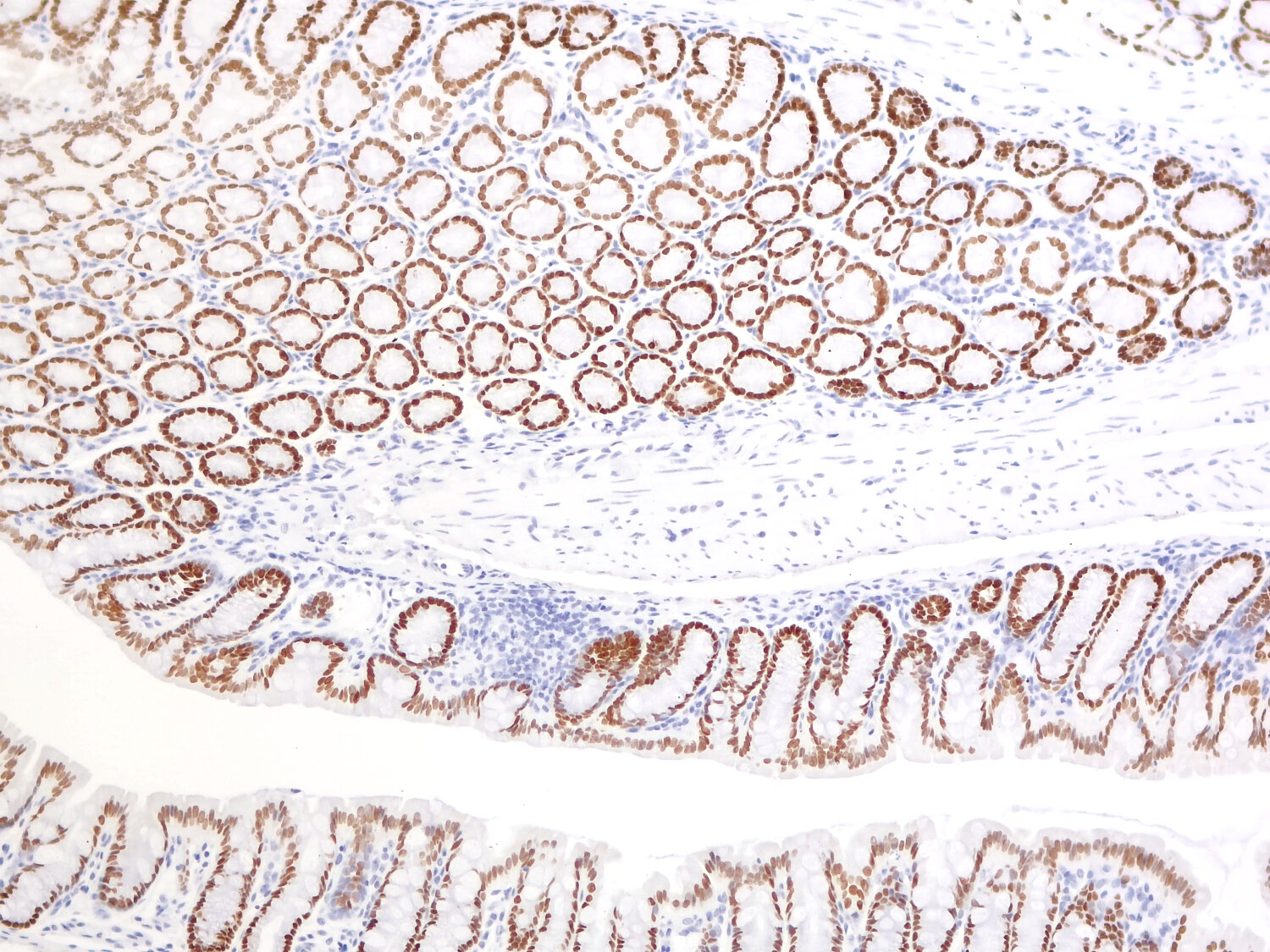
IHC: 1 : 200 gallery  
IHC-P: 1 : 200 up to 1 : 500 gallery  

Western blot (WB); separation of proteins by PAGE and subsequent transfer to a membrane. Detection of target molecules is carried out with antibodies. Some antibodies require special sample preparation steps. For details, please refer to the “Remarks” section.

Immunoprecipitation (IP); Immunoisolation or pulldown of a target molecule using an antibody. For details and product specific hints, please refer to the ”Remarks” section.

Immunocytochemistry (ICC) on 4% PFA fixed cells. Immunoreactivity is usually revealed by fluorescence. Some antibodies require special fixation methods. For details, please refer to the “Remarks” section.

Immunohistochemistry (IHC) on 4% PFA perfusion fixed tissue with 24h PFA post fixation. Immunoreactivity is usually revealed by fluorescence or a chromogenic substrate. Some antibodies require special fixation methods or antigen retrieval steps. For details, please refer to the ”Remarks” section.

Immunohistochemistry (IHC-P) of formalin fixed, paraffin embedded (FFPE) tissue (some antibodies require special antigen retrieval steps, please refer to the ”Remarks” section). Immunoreactivity is usually revealed by fluorescence or a chromogenic substrate.

Immunogen Synthetic peptide corresponding to AA 718 to 733 from mouse SATB2 (UniProt Id: Q8VI24)
Reactivity Reacts with: rat (D3ZJ19), mouse (Q8VI24).
Other species not tested yet.
Data sheet 327_003.pdf
Cat. No.: 327 003
Amount: 50 µg
Price: $380.00
Background

The Special AT-rich sequence-binding protein 2 or SATB2 is a transcription factor required for the initiation of the genetic program for the upper-layer neurons (UL1).
Together with Ctip 2, Coup-TFI, and Fezf2 it is involved in the fine-tuned sequential formation and specification of the different excitatory neuron populations forming the definitive six-layered cortical structure (1-4).
Beyond its pivotal role in neurodevelopment, SATB2 is also expressed in non-neuronal tissues, notably in the epithelium of the lower gastrointestinal tract, including the colon. In normal physiology, it is strongly expressed in glandular cells of the colorectal mucosa. In pathology, SATB2 serves as a highly sensitive and specific immunohistochemical marker for colorectal epithelial differentiation and is expressed in the majority of primary and metastatic colorectal adenocarcinomas (5, 6). This colonic expression pattern makes SATB2 a valuable diagnostic biomarker in surgical pathology, particularly in determining the origin of metastatic lesions.