Tailor-made Antibodies
and Tools for Life Science
Home | | | | | Technical Support

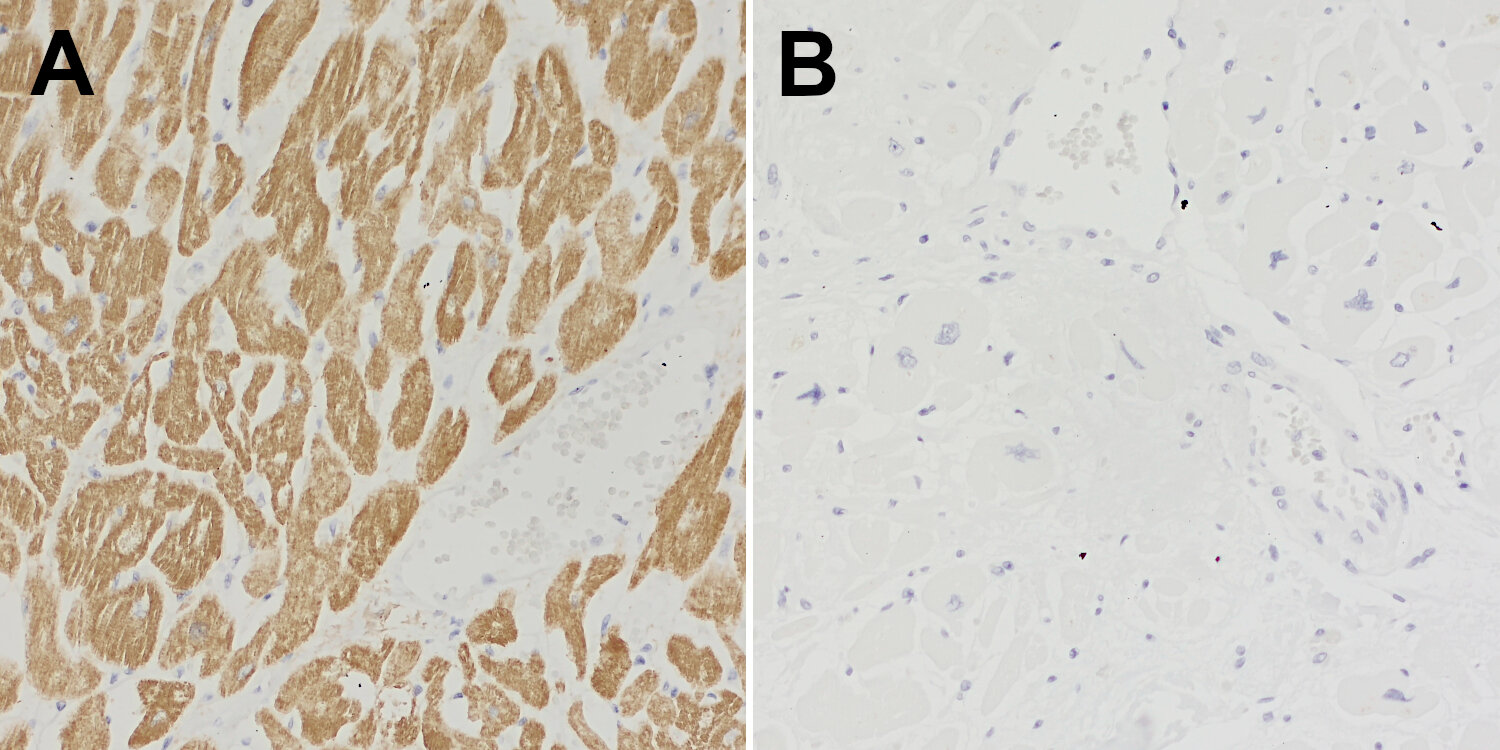
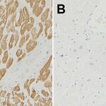
MLC-2V antibody - 310 308

Myosin light chain 2V or MLC-2V is specific for the ventricle of the mammalian heart
Guinea pig monoclonal recombinant IgG
Cat. No.: 310 308
Amount: 50 µg
Price: $420.00
Cat. No. 310 308 50 µg purified recombinant IgG, lyophilized. Albumin and azide were added for stabilization. For reconstitution add 50 µl H2O to get a 1mg/ml solution in PBS. Then aliquot and store at -20°C to -80°C until use.
Antibodies should be stored at +4°C when still lyophilized. Do not freeze!
Applications
 
WB: 1 : 1000 (AP staining) gallery  
IP: not tested yet
ICC: not tested yet
IHC: not tested yet
IHC-P: 1 : 1000 gallery  

Western blot (WB); separation of proteins by PAGE and subsequent transfer to a membrane. Detection of target molecules is carried out with antibodies. Some antibodies require special sample preparation steps. For details, please refer to the “Remarks” section.

Immunoprecipitation (IP); Immunoisolation or pulldown of a target molecule using an antibody. For details and product specific hints, please refer to the ”Remarks” section.

Immunocytochemistry (ICC) on 4% PFA fixed cells. Immunoreactivity is usually revealed by fluorescence. Some antibodies require special fixation methods. For details, please refer to the “Remarks” section.

Immunohistochemistry (IHC) on 4% PFA perfusion fixed tissue with 24h PFA post fixation. Immunoreactivity is usually revealed by fluorescence or a chromogenic substrate. Some antibodies require special fixation methods or antigen retrieval steps. For details, please refer to the ”Remarks” section.

Immunohistochemistry (IHC-P) of formalin fixed, paraffin embedded (FFPE) tissue (some antibodies require special antigen retrieval steps, please refer to the ”Remarks” section). Immunoreactivity is usually revealed by fluorescence or a chromogenic substrate.

Clone Gp330G5
Subtype IgG2 (κ light chain)
Immunogen Full-length recombinant human MLC-2V protein (UniProt Id: P10916)
Epitop AA 105 to 111 from human MLC-2V (UniProt Id: P10916)
Reactivity Reacts with: human (P10916), rat (P08733), mouse (P51667), pig, chicken.
Other species not tested yet.
Specificity Specific for MLC-2V, no cross-reactivity to MLC-2A.
Remarks

This antibody is a chimeric antibody based on the monoclonal mouse antibody 330G5. The constant regions of the heavy and light chains have been replaced with guinea pig specific sequences. Therefore, the antibody can be used with standard anti-guinea pig secondary reagents. The antibody has been expressed in mammalian cells.

Data sheet 310_308.pdf
Cat. No.: 310 308
Amount: 50 µg
Price: $420.00
Background

During cardiogenesis two major isoforms of myosin light chain 2 are co-expressed in a tightly regulated manner. MLC-2V is only present in the ventricle while MLC-2A is exclusively expressed in the atrium. Knock out studies revealed that the 2A isoform cannot substitute for the 2V variant in the ventricular chamber.
Recently it has been demonstrated that embryonic and adult stem cells can be differentiated into cardiomyocytes which may generate suitable replacements for damaged heart tissue in the future.
These antibodies are useful tools to distinguish between ventricle and atrium specific cardiomyocytes.