Tailor-made Antibodies
and Tools for Life Science
Home | | | | | Technical Support

Neurobeachin antibody - 194 005

Neurobeachin is a protein kinase A-anchoring protein
Guinea pig polyclonal purified antibody
Cat. No.: 194 005
Amount: 50 µg
Price: $465.00
Cat. No. 194 005 50 µg specific antibody, lyophilized. Affinity purified with the immunogen. Albumin and azide were added for stabilization. For reconstitution add 50 µl H2O to get a 1mg/ml solution in PBS. Then aliquot and store at -20°C to -80°C until use.
Antibodies should be stored at +4°C when still lyophilized. Do not freeze!
Applications
 
WB: 1 : 1000 up to 1 : 5000 (AP staining) gallery  
IP: not tested yet
ICC: 1 : 500 up to 1 : 1000 gallery  
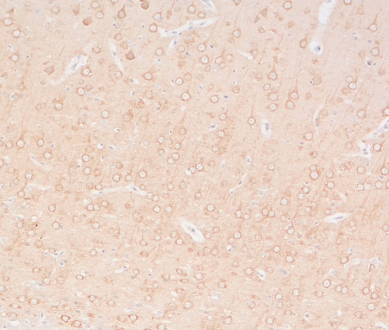
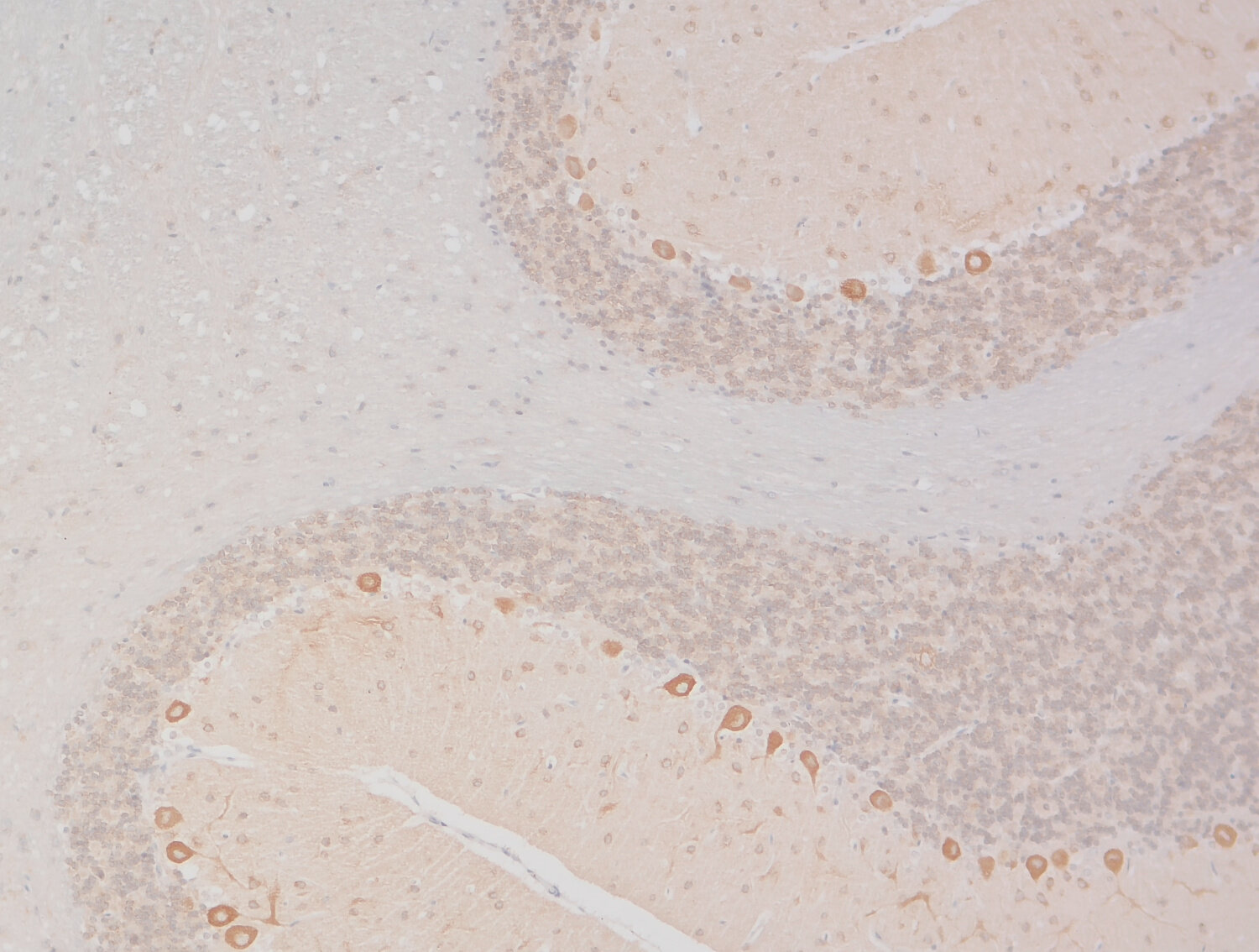
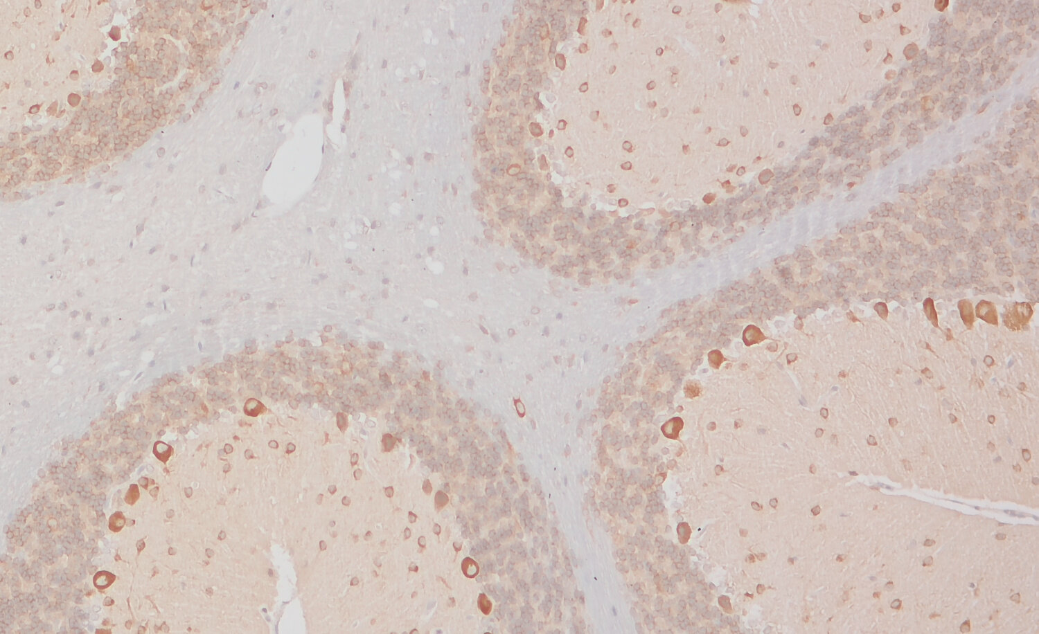
IHC: 1 : 500 up to 1 : 1000 gallery  
IHC-P: 1 : 1000 gallery  

Western blot (WB); separation of proteins by PAGE and subsequent transfer to a membrane. Detection of target molecules is carried out with antibodies. Some antibodies require special sample preparation steps. For details, please refer to the “Remarks” section.

Immunoprecipitation (IP); Immunoisolation or pulldown of a target molecule using an antibody. For details and product specific hints, please refer to the ”Remarks” section.

Immunocytochemistry (ICC) on 4% PFA fixed cells. Immunoreactivity is usually revealed by fluorescence. Some antibodies require special fixation methods. For details, please refer to the “Remarks” section.

Immunohistochemistry (IHC) on 4% PFA perfusion fixed tissue with 24h PFA post fixation. Immunoreactivity is usually revealed by fluorescence or a chromogenic substrate. Some antibodies require special fixation methods or antigen retrieval steps. For details, please refer to the ”Remarks” section.

Immunohistochemistry (IHC-P) of formalin fixed, paraffin embedded (FFPE) tissue (some antibodies require special antigen retrieval steps, please refer to the ”Remarks” section). Immunoreactivity is usually revealed by fluorescence or a chromogenic substrate.

Immunogen Recombinant protein corresponding to residues near the central region of mouse Neurobeachin (UniProt Id: Q9EPN1)
Reactivity Reacts with: mouse (Q9EPN1), rat (A0A8I6AB61).
Other species not tested yet.
Remarks

WB: To avoid protein aggregation, do not heat samples for SDS-PAGE.
Due to the large size of this protein, we recommend NuPAGE 3-8% Tris-Acetate gels for SDS-PAGE.

Data sheet 194_005.pdf
Cat. No.: 194 005
Amount: 50 µg
Price: $465.00
Background
Neurobeachin, also referred to as NBEA, is a large ~330 kDa brain-specific protein that belongs to the BEACH (beige and Chediak-Higashi) family. The protein has been shown to locate to tubulovesicular neuronal endomembranes near the trans-Golgi synapses, but also throughout the cell. Neurobeachin binds to protein kinase A and after adding GTPγS concentrates at Golgi-near membranes.