Tailor-made Antibodies
and Tools for Life Science
Home | | | | | Technical Support

Neurofilament H antibody - 171 121

Neurofilaments are major neuronal intermediate filaments
Mouse monoclonal purified IgG
Cat. No.: 171 121
Amount: 100 µg
Price: $420.00
Cat. No. 171 121 100 µg purified IgG, lyophilized. Albumin and azide were added for stabilization. For reconstitution add 100 µl H2O to get a 1mg/ml solution in PBS. Then aliquot and store at -20°C to -80°C until use.
Antibodies should be stored at +4°C when still lyophilized. Do not freeze!
Applications
 
WB: 1 : 1000 (AP staining) gallery  
IP: not tested yet
ICC: 1 : 500 gallery  
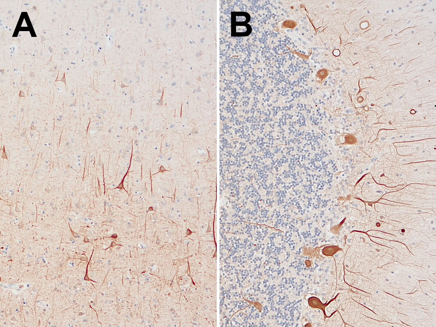
IHC: 1 : 500 gallery  
IHC-P: 1 : 100 up to 1 : 1000 gallery  

Western blot (WB); separation of proteins by PAGE and subsequent transfer to a membrane. Detection of target molecules is carried out with antibodies. Some antibodies require special sample preparation steps. For details, please refer to the “Remarks” section.

Immunoprecipitation (IP); Immunoisolation or pulldown of a target molecule using an antibody. For details and product specific hints, please refer to the ”Remarks” section.

Immunocytochemistry (ICC) on 4% PFA fixed cells. Immunoreactivity is usually revealed by fluorescence. Some antibodies require special fixation methods. For details, please refer to the “Remarks” section.

Immunohistochemistry (IHC) on 4% PFA perfusion fixed tissue with 24h PFA post fixation. Immunoreactivity is usually revealed by fluorescence or a chromogenic substrate. Some antibodies require special fixation methods or antigen retrieval steps. For details, please refer to the ”Remarks” section.

Immunohistochemistry (IHC-P) of formalin fixed, paraffin embedded (FFPE) tissue (some antibodies require special antigen retrieval steps, please refer to the ”Remarks” section). Immunoreactivity is usually revealed by fluorescence or a chromogenic substrate.

Clone N52
Subtype IgG1
Immunogen Full length purified pig Neurofilament H (UniProt Id: F1RFH3)
Reactivity Reacts with: mouse (P19246), rat (P16884), pig (F1RFH3), ape, human (P12036).
Other species not tested yet.
Specificity Detects phosphorylated and unphosphorylated Neurofilament H.
Data sheet 171_121.pdf

References for Neurofilament H - 171 121

Expression of neurofilaments and of a titin epitope in thymic epithelial tumors. Implications for the pathogenesis of myasthenia gravis.
Marx A, Wilisch A, Schultz A, Greiner A, Magi B, Pallini V, Schalke B, Toyka K, Nix W, Kirchner T, Müller-Hermelink HK, et al.
The American journal of pathology (1996) 1486: 1839-50. 171 121 WB, IHC; tested species: human
Reactivity of a panel of neurofilament antibodies on phosphorylated and dephosphorylated neurofilaments.
Shaw G, Osborn M, Weber K
European journal of cell biology (1986) 421: 1-9. 171 121 IHC, WB; tested species: human,rat
Comparative study of the three neurofilament subunits within pig and human retinal ganglion cells.
Ruiz-Ederra J, García M, Hicks D, Vecino E
Molecular vision (2004) 10: 83-92. 171 121 IHC; tested species: pig
Evidence that Wallerian degeneration and localized axon degeneration induced by local neurotrophin deprivation do not involve caspases.
Finn JT, Weil M, Archer F, Siman R, Srinivasan A, Raff MC
The Journal of neuroscience : the official journal of the Society for Neuroscience (2000) 204: 1333-41. 171 121 IHC; tested species: mouse,rat
Accumulation of amyloid beta and tau and the formation of neurofilament inclusions following diffuse brain injury in the pig.
Smith DH, Chen XH, Nonaka M, Trojanowski JQ, Lee VM, Saatman KE, Leoni MJ, Xu BN, Wolf JA, Meaney DF
Journal of neuropathology and experimental neurology (1999) 589: 982-92. 171 121 IHC; tested species: pig
Expression of neurofilaments and of a titin epitope in thymic epithelial tumors. Implications for the pathogenesis of myasthenia gravis.
Marx A, Wilisch A, Schultz A, Greiner A, Magi B, Pallini V, Schalke B, Toyka K, Nix W, Kirchner T, Müller-Hermelink HK, et al.
The American journal of pathology (1996) 1486: 1839-50. 171 121 WB, IHC; tested species: human
Unexpected immunoreactivities of intermediate filament antibodies in human brain and brain tumors.
Franke FE, Schachenmayr W, Osborn M, Altmannsberger M
The American journal of pathology (1991) 1391: 67-79. 171 121 IHC; tested species: human
Evidence for a hepatocellular lineage in a combined hepatocellular-cholangiocarcinoma of transitional type.
Fisher HP, Doppl W, Osborn M, Altmannsberger M
Virchows Archiv. B, Cell pathology including molecular pathology (1988) 562: 71-6. 171 121 IHC; tested species: human
Reactivity of a panel of neurofilament antibodies on phosphorylated and dephosphorylated neurofilaments.
Shaw G, Osborn M, Weber K
European journal of cell biology (1986) 421: 1-9. 171 121 IHC, WB; tested species: human,rat
Cat. No.: 171 121
Amount: 100 µg
Price: $420.00
Expression of neurofilaments and of a titin epitope in thymic epithelial tumors. Implications for the pathogenesis of myasthenia gravis.
Marx A, Wilisch A, Schultz A, Greiner A, Magi B, Pallini V, Schalke B, Toyka K, Nix W, Kirchner T, Müller-Hermelink HK, et al.
The American journal of pathology (1996) 1486: 1839-50. 171 121 WB, IHC; tested species: human
Reactivity of a panel of neurofilament antibodies on phosphorylated and dephosphorylated neurofilaments.
Shaw G, Osborn M, Weber K
European journal of cell biology (1986) 421: 1-9. 171 121 IHC, WB; tested species: human,rat
Comparative study of the three neurofilament subunits within pig and human retinal ganglion cells.
Ruiz-Ederra J, García M, Hicks D, Vecino E
Molecular vision (2004) 10: 83-92. 171 121 IHC; tested species: pig
Evidence that Wallerian degeneration and localized axon degeneration induced by local neurotrophin deprivation do not involve caspases.
Finn JT, Weil M, Archer F, Siman R, Srinivasan A, Raff MC
The Journal of neuroscience : the official journal of the Society for Neuroscience (2000) 204: 1333-41. 171 121 IHC; tested species: mouse,rat
Accumulation of amyloid beta and tau and the formation of neurofilament inclusions following diffuse brain injury in the pig.
Smith DH, Chen XH, Nonaka M, Trojanowski JQ, Lee VM, Saatman KE, Leoni MJ, Xu BN, Wolf JA, Meaney DF
Journal of neuropathology and experimental neurology (1999) 589: 982-92. 171 121 IHC; tested species: pig
Expression of neurofilaments and of a titin epitope in thymic epithelial tumors. Implications for the pathogenesis of myasthenia gravis.
Marx A, Wilisch A, Schultz A, Greiner A, Magi B, Pallini V, Schalke B, Toyka K, Nix W, Kirchner T, Müller-Hermelink HK, et al.
The American journal of pathology (1996) 1486: 1839-50. 171 121 WB, IHC; tested species: human
Unexpected immunoreactivities of intermediate filament antibodies in human brain and brain tumors.
Franke FE, Schachenmayr W, Osborn M, Altmannsberger M
The American journal of pathology (1991) 1391: 67-79. 171 121 IHC; tested species: human
Evidence for a hepatocellular lineage in a combined hepatocellular-cholangiocarcinoma of transitional type.
Fisher HP, Doppl W, Osborn M, Altmannsberger M
Virchows Archiv. B, Cell pathology including molecular pathology (1988) 562: 71-6. 171 121 IHC; tested species: human
Reactivity of a panel of neurofilament antibodies on phosphorylated and dephosphorylated neurofilaments.
Shaw G, Osborn M, Weber K
European journal of cell biology (1986) 421: 1-9. 171 121 IHC, WB; tested species: human,rat
Background

Neurofilaments (NFs) are intermediate filaments essential for providing structural support to neurons, particularly within axons. They play a crucial role in maintaining axonal diameter, which directly influences nerve conduction velocity (1). Neurofilaments are composed of three primary subunits - NF-L (light), NF-M (medium) and NF-H (heavy) – along with an NF-associated protein. In the adult central nervous system (CNS), α-internexin serves as the fourth neurofilament subunit, whereas in the peripheral nervous system (PNS), peripherin takes on this role (2).
Beyond their structural function, neurofilaments are also valuable biomarkers in both research and clinical settings. They are widely used in immunohistochemistry to stain and visualize axons, particularly in peripheral nerves and the CNS. Increased levels of neurofilament proteins in cerebrospinal fluid (CSF) or blood are strongly associated with neurodegenerative diseases, such as amyotrophic lateral sclerosis (ALS), multiple sclerosis (MS), and Alzheimer’s disease (3). In peripheral nerve studies, neurofilament staining is often combined with other markers, such as S100, to provide a more comprehensive assessment of nerve structure and pathology (4).